Viêm xoang do nấm cần được điều trị kịp thời

Bệnh viện Nhân dân 115 (TP.HCM) vừa phẫu thuật lấy khối nấm trong xoang bướm khoang mũi, nguyên nhân gây đau đầu kéo dài ở bệnh nhân nữ 67 tuổi có nhiều bệnh lý nền. Trước đó, bệnh nhân đau đầu kéo dài nhiều tháng, chảy nước mũi có mùi hôi dù đã khám và điều trị ở nhiều nơi nhưng không dứt.
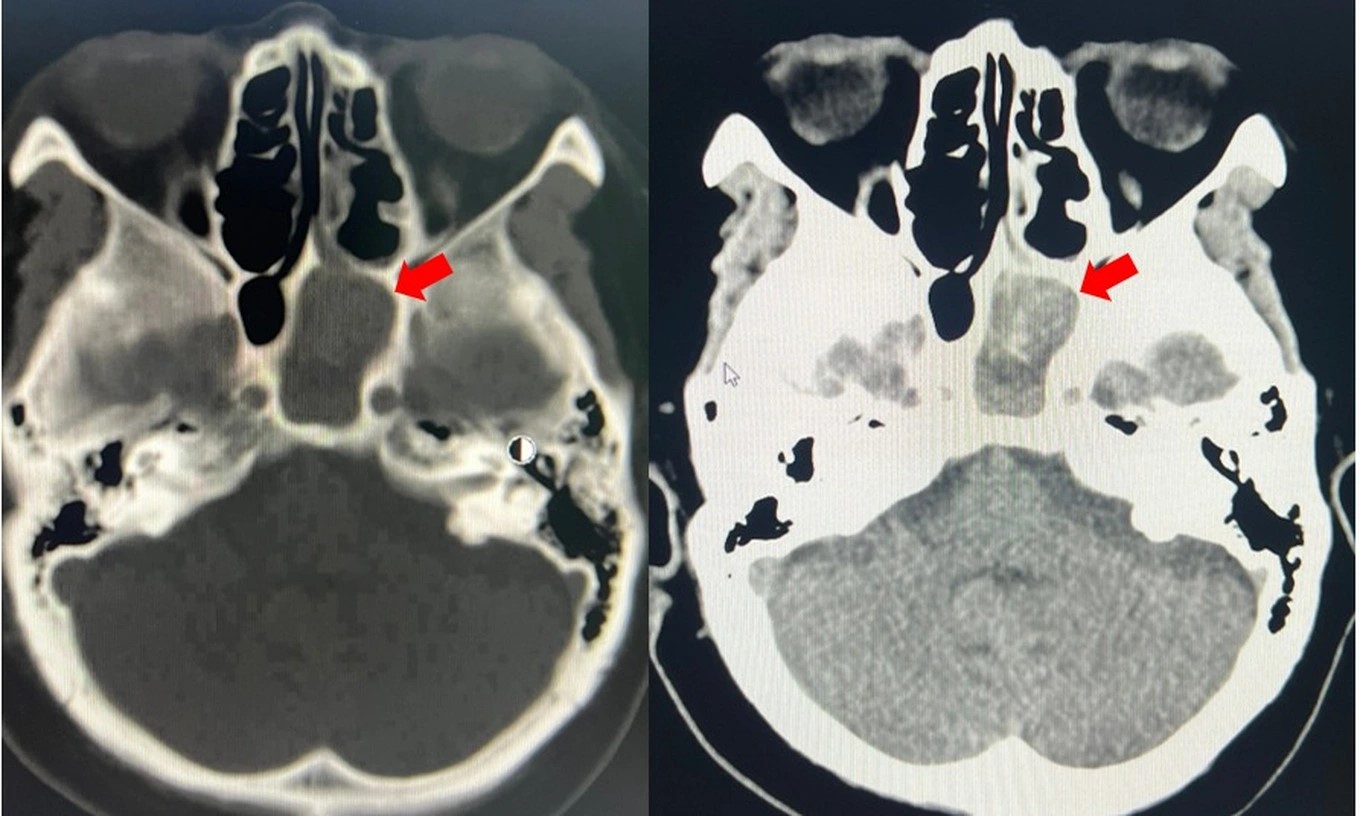
BSCKI. Nhâm Tấn Đạt cho biết, kết quả chụp CT scan và các xét nghiệm cho thấy người bệnh có khối nấm trong xoang bướm trái kèm nhiễm trùng xoang. Bệnh nhân đồng thời mắc tăng huyết áp, bệnh thận mạn giai đoạn III và đái tháo đường type 2 - những yếu tố làm bệnh dễ tiến triển nặng hơn.
Các bác sĩ đã phối hợp nhiều chuyên khoa để kiểm soát bệnh nền, sau đó tiến hành phẫu thuật nội soi mở xoang bướm, lấy sạch mô nấm và mô hoại tử. Sau phẫu thuật, người bệnh tiếp tục được theo dõi và điều trị tại Khoa Tai Mũi Họng 2 ngày sau mổ. Đến thời điểm xuất viện, người bệnh đã không còn đau đầu và chảy mũi.

Viêm xoang bướm do nấm là dạng nhiễm nấm không xâm lấn, thường do các loại nấm sợi (chủ yếu là Aspergillus spp.) phát triển lâu ngày, tạo thành một "quả bóng" đặc quánh màu nâu đen hoặc xanh xám trong lòng xoang. Chính vì vị trí hiểm này, bệnh có triệu chứng mơ hồ, không điển hình, dễ nhầm với viêm xoang mạn thông thường.
Nếu không phát hiện và xử trí kịp thời, khối nấm có thể dẫn đến các biến chứng nguy hiểm như tổn thương thần kinh thị giác gây mù không hồi phục, viêm mô tế bào quanh hốc mắt, hoặc viêm màng não, áp xe não do nhiễm trùng lan rộng.
"Người dân không nên chủ quan với triệu chứng đau đầu kéo dài không giảm khi dùng thuốc hoặc có bất thường về thị lực, cần đến khám chuyên khoa để được chẩn đoán và điều trị kịp thời, "BS Nhâm Tấn Đạt khuyến cáo.
Phương pháp điều trị chuẩn hiện nay là phẫu thuật nội soi mũi xoang để lấy trọn khối nấm, kết hợp dẫn lưu tốt sau mổ nhằm tránh tái phát. Người bệnh cần tái khám định kỳ, rửa mũi bằng nước muối sinh lý, tránh môi trường ô nhiễm và không tự ý dùng thuốc khi chưa có chỉ định.

Một trường hợp tương tự, sau khi khỏi cúm A, bà Dương, 56 tuổi, thi thoảng sốt 38 độ C, chảy dịch hôi mũi, đau nhức nửa mặt. Kết quả nội soi tại Bệnh viện Đa khoa Tâm Anh Hà Nội ghi nhận khe mũi giữa bên trái đọng mủ. Phim chụp cắt lớp vi tính cho thấy hình ảnh mờ toàn bộ xoang hàm trái. ThS.BS. Nguyễn Đức Minh, khoa Tai Mũi Họng, chẩn đoán bệnh nhân bị viêm xoang mũi bên trái do nấm.
Người bệnh được kê kháng sinh điều trị và tái khám sau hai tuần nhưng nấm xoang không giảm. Bác sĩ chỉ định phẫu thuật nội soi mũi xoang hàm trái, bơm rửa làm sạch lòng xoang, lấy hết tổ chức trắng xám nghi ngờ nấm xoang để giải phẫu bệnh. Kết quả xét nghiệm sau đó ghi nhận nấm Aspergillus. Đây là loại nấm tồn tại phổ biến trong môi trường như đất, không khí, bụi nhà.
“Người khỏe mạnh khi tiếp xúc bào tử nấm hiếm khi bị nấm xoang", bác sĩ Minh nói. Nhưng nếu cơ thể suy giảm miễn dịch, mắc các bệnh nền như đái tháo đường hoặc cúm kéo dài thì sẽ tạo điều kiện cho nấm có cơ hội xâm nhập và phát triển. Ba tuần trước khi vào viện, bà Dương bị bệnh cúm A dài ngày, do đó có thể đã khiến hệ miễn dịch suy yếu.
Bác sĩ Minh khuyến cáo người trung niên, cao tuổi cần giữ vệ sinh đường hô hấp sạch sẽ, tránh tiếp xúc với môi trường nhiều bụi bẩn, ẩm mốc. Chú ý đeo khẩu trang khi dọn dẹp nhà cửa, quét bụi, làm vườn vì nấm Aspergillus thường có trong bụi đất, rơm rạ, mùn cây... Gia đình nên vệ sinh máy lạnh, máy lọc không khí, chăn gối thường xuyên.

Cũng vậy, sau hơn 1 tháng điều trị viêm xoang bằng thuốc nhưng cơn đau đầu không thuyên giảm, một người bệnh trẻ tuổi đã tìm đến Bệnh viện ĐKQT Nam Sài Gòn để điều trị. Trên film chụp CT, các bác sĩ phát hiện ổ nấm “ẩn mình” trong xoang bướm.
Ths.BSCKII. Nguyễn Trương Khương, Trưởng khoa Tai Mũi Họng bệnh viện, các dấu hiệu trên film CT để chẩn đoán nấm ở vùng xoang khá khó nhận biết. Các bác sĩ Tai Mũi Họng cần phải có chuyên môn và kinh nghiệm dày dặn để chẩn đoán, đó là lý do vì sao ở bệnh viện trước đây người bệnh thăm khám không tìm ra đúng nguyên nhân.
Bác sĩ cho biết, nhiều người trẻ hiện nay – đặc biệt là nhân viên văn phòng - dễ gặp phải các bệnh lý về xoang mũi vì ngồi làm việc trong phòng máy lạnh lâu ngày. Bác sĩ Khương nhấn mạnh: "Với các trường hợp đau đầu kéo dài, điều trị bằng thuốc nhiều tuần nhưng không cải thiện, người bệnh tuyệt đối không nên chủ quan. Hãy đến cơ sở y tế uy tín có chuyên khoa Tai Mũi Họng để được chẩn đoán và điều trị kịp thời, tránh biến chứng nguy hiểm".
Mới đây, một nghiên cứu từ Đại học Manchester (Anh) cảnh báo biến đổi khí hậu đang mở đường cho những loại nấm "ăn thịt con người từ bên trong" bùng phát mạnh mẽ. Theo CNN, nấm có mặt khắp nơi - trong đất, nước, không khí, thậm chí trên cơ thể chúng ta. Một số loài nấm, đặc biệt là Aspergillus, có thể gây ra bệnh aspergillosis - một căn bệnh nhiễm trùng nguy hiểm tấn công phổi, với tỉ lệ tử vong từ 20% đến 40%.

Theo nhóm nghiên cứu, Aspergillus flavus - loài nấm ưa khí hậu nóng - có thể mở rộng phạm vi sinh trưởng thêm 16% nếu thế giới tiếp tục phát thải mạnh. Loài này không chỉ kháng thuốc cao mà còn có thể làm hư hại thực phẩm, đe dọa an ninh lương thực. Trong khi đó, Aspergillus fumigatus - thường sống ở vùng ôn đới - được dự báo sẽ lấn sâu vào Bắc Âu, Trung Quốc, Bắc Mỹ và cả Nga nếu nhiệt độ toàn cầu tiếp tục tăng.
Điều đáng lo ngại là khi Trái đất nóng lên, nấm cũng đang thích nghi để chịu được nhiệt độ cao hơn - điều kiện bắt buộc để tồn tại và phát triển bên trong cơ thể người. Kết hợp với biến đổi thời tiết cực đoan, như lũ lụt, hạn hán - vốn giúp phát tán bào tử đi xa - nguy cơ bùng phát dịch nấm trở nên hiện hữu hơn bao giờ hết.
Mỗi năm, nấm gây tử vong cho ước tính 2,5 triệu người, nhưng hầu như không được nhắc đến nhiều như virus hay vi khuẩn. Càng đáng sợ hơn khi chỉ có 4 nhóm thuốc kháng nấm hiện hành, và tình trạng kháng thuốc đang ngày một gia tăng.
-Hoài Phương
]]>